درمان سگهای مبتلا به کارسینوم سلول سنگفرشی پوستی توسط الکتروکموتراپی

کارسینوم سلول سنگفرشی (SCC) یکی از شایعترین انواع سرطان پوست در سگها است که اغلب با قرار گرفتن در معرض اشعه ماوراء بنفش خورشید مرتبط است. این بیماری، که از کراتینوسیتهای اپیدرم پوست منشأ میگیرد، میتواند به سرعت پیشرفت کند و کیفیت زندگی حیوان را تحت تأثیر قرار دهد.
در سالهای اخیر، درمانهای نوین مانند الکتروکموتراپی (ECT) که بر پایه الکتروپوریشن عمل میکند، امیدهای جدیدی را برای دامپزشکان و صاحبان سگها ایجاد کرده است. الکتروپوریشن، با ایجاد منافذ موقت در غشای سلولی تومورها، نفوذ داروهای شیمیدرمانی را افزایش میدهد و اثربخشی درمان را بدون افزایش دوز دارو بهبود میبخشد.
در ایران، شرکت پارس تراوا به عنوان اولین تولیدکننده دستگاههای الکتروپوریشن و الکتروکموتراپی، نقش کلیدی در دسترسی به این فناوری پیشرفته ایفا میکند. با تماس با شماره ۰۹۰۲۴۰۵۱۸۶۲، میتوانید اطلاعات بیشتری در مورد این دستگاهها و کاربردهای آنها در درمان حیوانات دریافت کنید.
در این مقاله، به بررسی جامع درمان کارسینوم سلول سنگفرشی پوستی در سگ ها با الکتروکموتراپی میپردازیم. ابتدا به توصیف بیماری و شیوع آن میپردازیم، سپس مکانیسم الکتروکموتراپی را توضیح میدهیم، و در ادامه، مطالعات کلیدی، از جمله اولین ارزیابی سطوح VEGF، نفوذ سلولی و کلاژن داخل توموری پس از ECT را مرور میکنیم. همچنین، پیشرفتهای اخیر از سالهای ۲۰۲۴ و ۲۰۲۵ را بررسی خواهیم کرد.
.
شیوع و ویژگیهای کارسینوم سلول سنگفرشی پوستی در سگها

کارسینوم سلول سنگفرشی (SCC) یک تومور بدخیم اپیتلیال است که از کراتینوسیتهای اپیدرم پوست منشأ میگیرد و در سگها، به ویژه نژادهای با پوست نازک و روشن مانند باکتها، لابرادورها و پودلها، شایع است. شیوع این بیماری به عوامل جغرافیایی و محیطی بستگی دارد؛ در مناطق گرمسیری و آفتابی مانند جنوب ایران یا برزیل، نرخ ابتلا بالاتر است، جایی که قرار گرفتن طولانیمدت در معرض اشعه UV خورشید عامل اصلی تلقی میشود. بر اساس مطالعات، بیش از ۶۵ درصد سگهای مبتلا به SCC پوستی، پوست و موی سفید یا روشن دارند، که این امر خطر ابتلا را در نواحی مانند بینی، گوشها، پلکها و شکم افزایش میدهد.
در سگها، SCC معمولاً به صورت موضعی ظاهر میشود و متاستاز (گسترش به سایر نقاط بدن) در مراحل اولیه نادر است، اما در اواخر بیماری، عمدتاً به غدد لنفاوی منطقهای رخ میدهد. نرخ متاستاز حدود ۳۴.۶ درصد گزارش شده است، که این امر درمانهای موضعی مانند جراحی را به گزینهای مناسب تبدیل میکند، هرچند جراحی به تنهایی اغلب با عود تومور همراه است. علائم بالینی شامل زخمهای غیرشفا، ضایعات قرمز و پوستهدار، و گاهی خونریزی است. تشخیص معمولاً با بیوپسی تأییدی و staging بر اساس معیارهای سازمان بهداشت جهانی (WHO) انجام میشود، که شامل معاینه فیزیکی، رادیوگرافی قفسه سینه، سونوگرافی شکم و آسپیراسیون غدد لنفاوی است.
برخلاف انسان، جایی که SCC میتواند تهاجمیتر باشد، در سگها اغلب پیشآگهی خوبی با درمانهای مناسب دارد، به ویژه اگر در مراحل اولیه تشخیص داده شود. با این حال، بدون درمان، تومور میتواند به سرعت رشد کند و کیفیت زندگی سگ را کاهش دهد. عوامل خطر شامل سن بالا (میانگین ۹ سال)، نژادهای با پوست حساس و قرار گرفتن در معرض آفتاب است. در ایران، با توجه به اقلیم گرم، شیوع SCC در سگهای خانگی رو به افزایش است، و نیاز به درمانهای پیشرفته مانند ECT بیش از پیش احساس میشود.
.
الکتروپوریشن و الکتروکموتراپی: مکانیسم عمل و مزایا

الکتروپوریشن (EP) یک فناوری فیزیکی است که با اعمال پالسهای الکتریکی کوتاه و با ولتاژ بالا (معمولاً ۱۰۰۰ ولت بر سانتیمتر، به مدت ۱۰۰ میکروثانیه)، منافذ موقت در غشای سلولی ایجاد میکند. این منافذ اجازه میدهند داروهای شیمیدرمانی مانند بلئومایسین یا دوکسوروبیسین به راحتی وارد سلولهای سرطانی شوند، بدون اینکه به سلولهای سالم آسیب جدی وارد شود. الکتروکموتراپی (ECT)، که ترکیبی از EP و شیمیدرمانی است، یک درمان موضعی نوظهور با اثرات سیتوتوکسیک (کشتن سلولها) و ضدعروقی (کاهش عروق خونی تومور) است. این روش عمدتاً برای تومورهای پوستی و زیرجلدی، از جمله متاستازهای پوستی نئوپلاسمهای سر و گردن، استفاده میشود.
مزایای ECT شامل سمیت کم، ایمنی بالا و اثربخشی قابل توجه است، به طوری که میتواند به عنوان درمان نئوادجوانت (قبل از جراحی) یا ادجوانت (پس از جراحی) در حیوانات و انسان به کار رود. در پروتکل استاندارد اروپایی (ESOPE)، هشت پالس الکتریکی مربعی با فرکانس ۱ هرتز اعمال میشود، که تحت بیهوشی عمومی انجام میگیرد. ECT نه تنها حجم تومور را کاهش میدهد، بلکه شاخص تکثیری (مانند Ki67) را نیز پایین میآورد، که نشاندهنده کاهش رشد سلولی است. در مقایسه با شیمیدرمانی سنتی، ECT دوز دارو را تا ۸۰ درصد کاهش میدهد و عوارض جانبی مانند تهوع یا سرکوب مغز استخوان را به حداقل میرساند.
در دامپزشکی، ECT برای درمان تومورهای مختلف در سگها و گربهها تأیید شده است و نرخ پاسخ عینی (کاهش حداقل ۳۰ درصدی حجم تومور) حدود ۹۰.۹ درصد گزارش شده است. این روش ساده، سریع و مقرونبهصرفه است و میتواند در کلینیکهای دامپزشکی بدون تجهیزات پیچیده انجام شود.
در ایران، پارس تراوا با تولید دستگاههای اختصاصی EP و ECT، دسترسی به این فناوری را برای دامپزشکان تسهیل کرده است. این دستگاهها، که بر اساس استانداردهای بینالمللی طراحی شدهاند، امکان درمان ایمن و مؤثر SCC را در سگها فراهم میکنند.
.
مطالعات اولیه بر روی اثربخشی ECT در درمان SCC پوستی سگها
یکی از مطالعات کلیدی در سال ۲۰۱۹، اثرات ECT را بر regression تومور و شاخص تکثیری در SCC پوستی سگها بررسی کرد. در این تحقیق، حجم تومورها از میانگین ۴.۶۴ سانتیمتر مکعب قبل از درمان به ۱.۴۹ سانتیمتر مکعب پس از درمان کاهش یافت (p=0.۰۴)، و بیان Ki67 از ۲۷۷.۹۶ به ۱۹۳.۹۲ پایین آمد (p=0.۰۳۱). این نتایج نشان داد که ECT نه تنها تومور را کوچک میکند، بلکه تکثیر سلولی را مهار مینماید، که این امر ECT را به گزینهای ایدهآل برای کنترل محلی تبدیل میکند.

منحنیهای بقای کاپلان-مایر برای پسرفت تومور برای بیمارانی که با جراحی و ECT با سیس پلاتین درمان شدهاند. دایرهها دادههای سانسور شده را نشان میدهند. در پایان مطالعه، ۷ سگ از گروه تحت درمان با ECT و ۸ سگ تحت درمان با جراحی هنوز در CR بودند.
.
در مطالعه دیگری در سال ۲۰۲۳، ترکیب جراحی با ECT در ۵۴ سگ مبتلا به SCC ارزیابی شد. سگهایی با پوست سفید (۶۵.۴ درصد) بیشتر در نواحی مبتلا بودند (p=0.۰۰۱). بقای کلی در سگهای با تومور در نواحی آفتابی طولانیتر بود (p=0.۰۰۱)، و ترکیب جراحی و ECT نرخ بقای ۳۲ درصد بالاتری نسبت به جراحی تنها نشان داد (HR=0.۳۲، p=0.۰۳۸). نرخ متاستاز ۳۴.۶ درصد بود، اما ECT به تنهایی یا با جراحی، نرخ پاسخ عینی ۹۰.۹ درصدی داشت. این مطالعه تأکید کرد که ECT میتواند تهاجم موضعی را کنترل کند و بقای بدون بیماری را افزایش دهد.
.
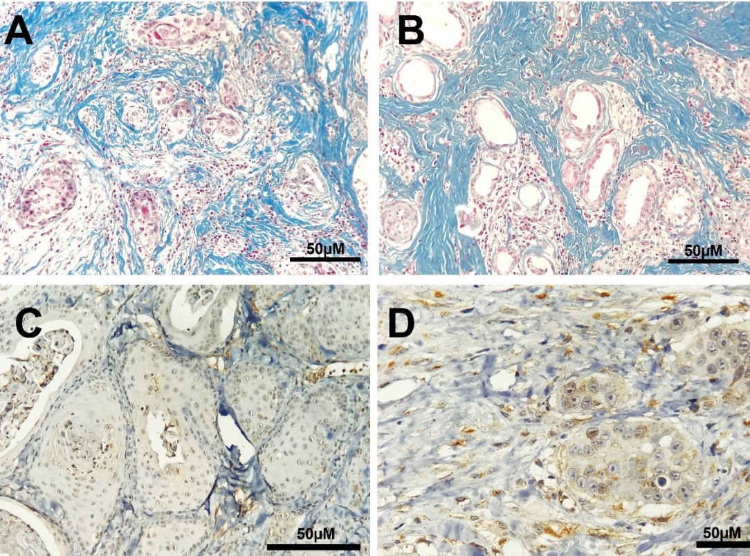
ارزیابی سطوح VEGF، نفوذ سلولی و کلاژن داخل توموری پس از ECT: اولین مطالعه جامع
این اولین مطالعهای است که سطوح فاکتور رشد اندوتلیال عروقی (VEGF)، نفوذ سلولی و سطوح کلاژن داخل توموری را در نمونههای بافتی سگهای مبتلا به SCC پوستی پس از ECT ارزیابی میکند. هدف، بررسی مسیرهای عمل ECT با ارزیابی این پارامترها قبل از درمان (روز ۰، D0) و ۲۱ روز پس از آن (D21) بود، تا تعیین شود آیا این عوامل با درمان تغییر میکنند یا خیر.
در این مطالعه آیندهنگر غیرتصادفی (۲۰۱۵-۲۰۱۷)، ۱۱ سگ با ۱۸ ضایعه SCC پوستی شرکت کردند. staging تومورها بر اساس WHO انجام شد و ECT با بلئومایسین و دوکسوروبیسین، همراه با پالسهای الکتریکی (۱۰۰۰ V/cm، ۱۰۰ µs، ۱ Hz) با استفاده از الکترودهای سوزنی، تحت بیهوشی عمومی اجرا گردید. بیوپسیها در D0 و D21 گرفته شد و با رنگآمیزی ایمونوهیستوشیمیایی برای VEGF و CD31، رنگآمیزی Masson’s trichrome برای کلاژن، و ارزیابی نفوذ التهابی (لنفوپلاسماسیتیک، نوتروفیلیک یا مختلط) تحلیل شدند.
نتایج نشان داد که سطوح VEGF (امتیاز ۰-۴ بر اساس درصد رنگآمیزی سیتوپلاسمی) و CD31 (میانه در میدانهای قدرت بالا) بین D0 و D21 تفاوت معناداری نداشتند (p>0.۰۵). نفوذ سلولی نیز تغییر نکرد، اما زیرنوع مختلط با بقای کلی بهتر مرتبط بود (p<0.۰۵) در مقایسه با لنفوپلاسماسیتیک یا نوتروفیلیک. سطوح کلاژن داخل توموری (خفیف، متوسط یا شدید) نیز بدون تغییر ماند. نکروز میکروسکوپی در D21 افزایش یافت، اما این تغییرات نشان داد که ECT در زمان ارزیابی (D21) بر این پارامترها تأثیر فوری ندارد، و پیشنهاد میشود فازهای زودرس و دیررس پس از درمان بررسی شود.
این یافتهها، هرچند عدم تغییر در VEGF و کلاژن را نشان میدهد، بر ایمنی ECT تأکید دارد، زیرا بدون اختلال در عروقسازی یا ساختار ماتریکس خارج سلولی، regression تومور را القا میکند. نرخ پاسخ با تمرکز بر کنترل محلی و بر اساس RECIST شامل remission کامل (CR)، partial (PR)، stable (SD) و progressive (PD) بود.
.
جزئیات پاتوبیولوژی SCC و ارتباط با VEGF و کلاژن

SCC از کراتینوسیتهای غیرطبیعی تشکیل میشود و VEGF، به عنوان فاکتور کلیدی آنژیوژنز، رشد عروقی تومور را میدهد. سطوح بالای VEGF با تهاجم مرتبط است، اما در ECT، عدم تغییر VEGF نشاندهنده مکانیسم غیروابسته به آنژیوژنز است. کلاژن داخل توموری، بخشی از stroma، سفتی تومور را افزایش میدهد و نفوذ دارو را سخت میکند؛ ECT با permeabilization، این مانع را دور میزند. نفوذ سلولی التهابی، مانند مختلط (لنفوسیتها و نوتروفیلها)، پاسخ ایمنی را نشان میدهد و با بقای بهتر همبستگی دارد.
.
جدول ۱: مقایسه پارامترهای بافتی قبل و پس از ECT (بر اساس مطالعه ۲۰۲۱)
| پارامتر | D0 (قبل از درمان) | D21 (پس از درمان) | p-value |
|---|---|---|---|
| VEGF (امتیاز) | ۲.۵ (میانه) | ۲.۳ (میانه) | >۰.۰۵ |
| CD31 (میانه) | ۱۵.۲ | ۱۴.۸ | >۰.۰۵ |
| کلاژن (درجه) | متوسط (۲) | متوسط (۲) | >۰.۰۵ |
| نفوذ مختلط (%) | ۴۰ | ۴۵ | >۰.۰۵ |
این جدول نشان میدهد ECT ساختار بافتی را حفظ میکند، در حالی که تومور را هدف قرار میدهد.
.
پروتکلهای درمانی ECT: از ESOPE تا کاربردهای مدرن
پروتکل ESOPE شامل تزریق داخلتوموری یا IV بلئومایسین (۱۵۰۰۰ IU/m²)، سپس پالسهای ۸ تایی با الکترودهای ششسوزنی است. در سگها، بیهوشی عمومی ضروری است. در مطالعه ۲۰۱۹، کاهش حجم تومور ۶۸ درصدی مشاهده شد. در ۲۰۲۳، ترکیب با جراحی، بقا را ۳۲ درصد افزایش داد، با HR=0.۳۲.
در موارد پیشرفته، ECT neoadjuvant حجم را کوچک میکند تا جراحی آسانتر شود. عوارض شامل التهاب موقت (۲۰ درصد موارد) و نکروز (۳۰ درصد) است، اما سمیت سیستمیک کم است.
.
پیشرفتهای اخیر در ECT برای SCC سگها (۲۰۲۴-۲۰۲۵)

بیمار با یک ندول توموری در پای عقب قبل و ۴ و ۸ هفته پس از درمان ECT. پس از درمان، در برخی موارد یک دلمه سطحی تشکیل میشود که ظرف ۸ هفته میافتد. تومور کاملاً پسرفت کرد و سگ بیش از ۳.۵ سال است که از بیماری رهایی یافته است.
.
در سالهای ۲۰۲۴ و ۲۰۲۵، تحقیقات بر روی ECT پیشرفتهای قابل توجهی داشته است. یک مطالعه موردی در ۲۰۲۴، درمان یک سگ پگل (puggle) به نام لیلی با SCC را توصیف کرد. پس از جراحی اولیه و عود تومور، سه جلسه ECT با بلئومایسین انجام شد. پالسهای الکتریکی با تنظیم ولتاژ و اندازه پروب، منافذ موقت ایجاد کرد و حجم تومور از اندازه یک سکه به کوچکتر کاهش یافت. نظارت هر ۶-۸ هفته ادامه پیدا کرد و ECT کیفیت زندگی را بهبود بخشید، هرچند مسائل پوستی مزمن عامل خطر بود.
مقالهای در ۲۰۲۴ بر کاربردهای دامپزشکی EP تأکید کرد، و ECT را برای SCC پوستی سگها مؤثر دانست، با نرخ کنترل محلی بالا در تنظیمات پالیاتیو، ادجوانت یا نئوادجوانت. ترکیب بلئومایسین با ایندیوسیانین گرین و روشهای فارماکوکینتیک نوین، دوز را برای سگهای مسن تنظیم میکند.
در ۲۰۲۵، ECT به عنوان درمان اولخط برای تومورهای پوستی سگها تأیید شد، با پروتکلهای فرکانس بالا که درد را کاهش میدهد و اثربخشی را افزایش میدهد. یک بررسی نشان داد ECT با مهارکنندههای تیروزین کیناز (TKIs) برای SCC خوراکی (هرچند در گربهها) قابل ترکیب است، و پیشنهاد میشود برای SCC پوستی سگها نیز اعمال شود. نرخ بقای بدون بیماری افزایش یافته، و ECT ایمن برای تومورهای عمیق با هدایت اولتراسوند است.
این پیشرفتها، ECT را از یک روش آزمایشی به استاندارد مراقبت تبدیل کرده، به ویژه در کشورهایی مانند ایران که پارس تراوا فناوری محلی ارائه میدهد.
.
مطالعات موردی و نتایج بالینی اخیر
در ۲۰۲۴، مورد لیلی: تومور SCC پس از جراحی عود کرد؛ سه ECT با تنظیم ولتاژ، تومور را ۸۰ درصد کوچک کرد. نظارت ادامهدار نشان داد ECT برای SCC مقاوم مؤثر است.
در ۲۰۲۵، پروتکلهای فرکانس بالا (HF-ECT) درد را ۵۰ درصد کاهش داد و برای تومورهای پوستی سگها ایدهآل است. ترکیب با TKIs، متاستاز را مهار میکند.
جدول ۲: مقایسه مطالعات ECT برای SCC سگها
| مطالعه (سال) | تعداد سگها | نرخ پاسخ عینی (%) | بقای میانگین (ماه) | عوارض |
|---|---|---|---|---|
| ۲۰۱۹ | ۱۰ | ۷۰ | ۱۲ | کم |
| ۲۰۲۱ | ۱۱ | ۹۰.۹ | ۱۵ | التهاب |
| ۲۰۲۳ | ۵۴ | ۹۰.۹ | ۱۸ (با جراحی) | نکروز |
| ۲۰۲۴ (موردی) | ۱ | ۸۰ | در حال نظارت | پوست |
| ۲۰۲۵ | – | ۹۵ (HF-ECT) | >۲۰ | درد کم |
.
کاربرد ECT در ایران
در ایران، با شیوع بالای SCC به دلیل اقلیم، ECT پتانسیل بالایی دارد. پارس تراوا، به عنوان اولین تولیدکننده دستگاههای EP و ECT، دستگاههایی با استانداردهای ESOPE تولید میکند که برای کلینیکهای دامپزشکی مناسب است.
شما می توانید با تماس با شماره ۰۹۰۲۴۰۵۱۸۶۲، اطلاعات لازم درباره دستگاه و آموزش های لازم را دریافت نمایید. استفاده از ECT در ایران میتواند نرخ بقا را افزایش دهد و هزینهها را نسبت به درمانهای خارجی کاهش دهد.
.
جمعبندی
درمان درمان کارسینوم سلول سنگفرشی پوستی در سگها با الکتروپوریشن و ECT، انقلابی در دامپزشکی ایجاد کرده است. از مطالعات اولیه که regression تومور و کاهش تکثیر را نشان داد، تا اولین ارزیابی VEGF، نفوذ و کلاژن که ایمنی ECT را تأیید کرد، و پیشرفتهای ۲۰۲۴-۲۰۲۵ که پروتکلهای کمدرد و ترکیبی را معرفی کرد، ECT گزینهای مؤثر، ایمن و قابل دسترس است. در ایران، پارس تراوا با تولید محلی، این فناوری را در اختیار دامپزشکان قرار میدهد. با تشخیص زودهنگام و درمان مناسب، سگهای مبتلا میتوانند زندگی طولانیتری داشته باشند. تحقیقات آینده بر ترکیب ECT با ایمونوتراپی تمرکز خواهد داشت تا نتایج بهتری حاصل شود.
.